Artykuły sponsorowane

Zamknij
Ważne

​Wszystko, co musisz wiedzieć o pantomogramie przed wizytą u specjalisty

art. sponsorowany 15:33, 25.04.2024 Aktualizacja: 17:22, 20.10.2025
​Wszystko, co musisz wiedzieć o pantomogramie przed wizytą u specjalisty

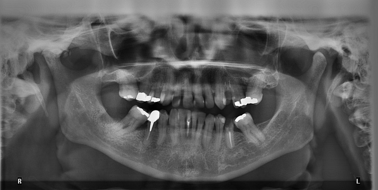
Pantomogram, znany także pod nazwą pantomografii, jest kluczowym badaniem w radiologii stomatologicznej i ortodoncji, oferującym wszechstronną analizę stanu jamy ustnej, a także struktur anatomicznych głowy i szyi. Jest to podstawowe narzędzie diagnostyczne, które pozwala na dokładną ocenę i identyfikację najlepszego planu leczenia wad zgryzu już podczas pierwszej konsultacji ortodontycznej, bazując na szczegółowym obrazie i ocenie stanu zdrowia jamy ustnej pacjenta.

Zrozumienie pantomogramu

Pantomogram to specyficzny typ badania rentgenowskiego, który zapewnia szczegółowy przekrój struktur anatomicznych obszaru jamy ustnej, w tym żuchwy i kości skroniowej. Dzięki swojej nieinwazyjności i bezbolesności, badanie to stanowi bezpieczną metodę dla lekarzy do przeprowadzenia kompleksowej oceny zdrowia jamy ustnej oraz sąsiadujących z nią kości i tkanek.

Kiedy warto wykonać RTG zębów?

Pantomogram, dostępny w Szczecinie oraz innych metropoliach, jest badaniem o szerokim zastosowaniu, które obejmuje:

  • Diagnostykę problemów zębowych i kostnych: pantomogram wykorzystywany jest do identyfikacji chorób zębów i dziąseł, takich jak próchnica, zapalenie miazgi czy infekcje, oraz do wykrywania wad zgryzu i oceny stanu kości szczęki i żuchwy.
  • Planowanie leczenia ortodontycznego: badanie to umożliwia ortodontom precyzyjne zaplanowanie terapii i aplikacji aparatu ortodontycznego dzięki dokładnej analizie ułożenia zębów i ich korzeni.
  • Przygotowanie do zabiegów chirurgicznych: rentgen zębów Szczecin jest niezbędny przed zabiegami takimi jak ekstrakcja zębów, by zapewnić dokładny obraz kości i tkanek.
  • Monitorowanie rozwoju zębów u dzieci i młodzieży: RTG zębów Szczecin pozwala na śledzenie prawidłowego wzrostu zębów i identyfikację potencjalnych problemów z zębami mądrości.

Przebieg badania pantomogramu

Proces wykonywania pantomogramu jest szybki i nie wymaga specjalnych przygotowań. Pacjent jest proszony o umieszczenie głowy w specjalnej maszynie rentgenowskiej, która obraca się dookoła głowy, rejestrując serię obrazów. Procedura ta zajmuje zwykle tylko kilka sekund, a zebrane obrazy są następnie analizowane przez radiologa lub dentystę.

Dlaczego warto wybrać rentgen zębów w Szczecinie?

Pantomogram jest bezcennym narzędziem diagnostycznym, pozwalającym na dokładną ocenę stanu zdrowia jamy ustnej i struktur anatomicznych. Dzięki temu badaniu, specjaliści mogą podejmować odpowiednie decyzje terapeutyczne, co daje pacjentom szansę na efektywne i celne leczenie.

Korzystając z nowoczesnych technologii i sprzętu dostępnego w Szczecinie, jak na przykład na stronie orto-magic.eu/radiologia-cyfrowa-oferta, pacjenci mogą oczekiwać precyzyjnych diagnoz. Wysokiej jakości pantomogram umożliwia wczesne wykrywanie problemów stomatologicznych i ich skuteczne leczenie. Dla stomatologów, stanowi to narzędzie do dokładnego planowania terapii, co zwiększa efektywność leczenia i minimalizuje ryzyko powikłań. Ponadto, pantomogram jest badaniem stosunkowo bezpiecznym, z kontrolowanym użyciem promieniowania rentgenowskiego, co minimalizuje ryzyko dla pacjenta.

(art. sponsorowany)
Nie przegap żadnego newsa, zaobserwuj nas na
GOOGLE NEWS
facebookFacebook
twitter
wykopWykop
0%